About iStudy

Empowering learners and educators with a comprehensive platform that bridges the gap between traditional and modern education. iStudy inspires excellence in education and fosters growth for a brighter future.

Siga-nos

Pós-Graduação

Unisep Restaurações com Resina Composta

Restaurações com Resina Composta

Público Alvo: Acadêmicos de Odontologia da Unisep

Categoria

Imersão

Data

Julho de 2025

Local do Curso

Unisep
OBJETIVO GERAL

Capacitar os alunos a planejar e executar restaurações em resina composta por meio de embasamento científico e treinamento técnico.

  • Revisar sistemas adesivos e resinas compostas
  • Aperfeiçoar técnicas de acabamento e polimento em resinas compostas
  • Realizar restaurações diretas e semidiretas em manequim odontológico
  • Dominar os princípios e técnicas para a restauração de dentes anteriores e posteriores em resina composta
  • Reforçar o aprendizado sobre anatomia dental, conhecendo as características morfológicas dos elementos dentais
DIFERENCIAIS DO CURSO

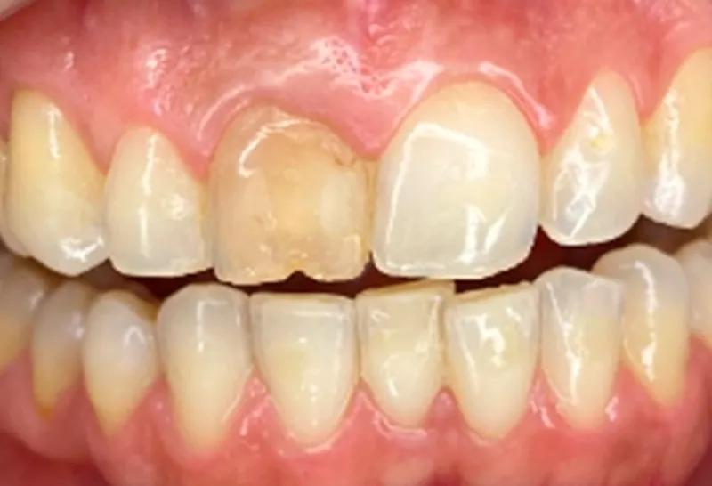
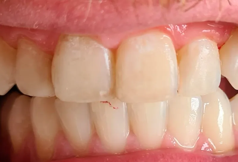
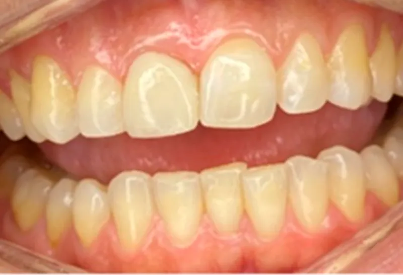
O tratamento restaurador na Odontologia é muito importante para restabelecer a função e a estética dos dentes, devolvendo saúde e melhorando a qualidade de vida dos pacientes. Os acadêmicos precisam conhecer a anatomia e os materiais restauradores para reabilitar adequadamente dentes comprometidos por cáries, fraturas, desgastes, entre outros fatores.

CONTEÚDO DO CURSO
Estética em Dentística RestauradoraAdesão e sistemas adesivos
Resinas compostasCor em odontologia
Anatomia e restauração de dentes posterioresAnatomia e restauração e dentes anteriores
Facetas diretasRestaurações semidiretas
Acabamento e polimento
  • Especialização em Dentística pela ABO Foz do Iguaçu
  • Especialização em Bioética pela UEL
  • Especialização em Saúde Coletiva pela Unipar
  • Mestrado em Ciências Aplicadas à Saúde pela Unioeste