About iStudy

Empowering learners and educators with a comprehensive platform that bridges the gap between traditional and modern education. iStudy inspires excellence in education and fosters growth for a brighter future.

Siga-nos

Pós-Graduação

Unisep Ortodontia Autoligável

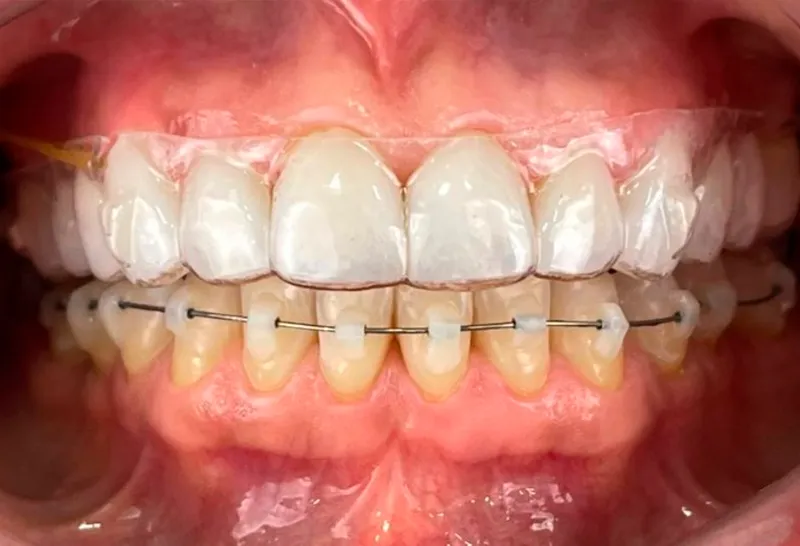
Ortodontia Autoligável

Público Alvo: Graduandos de Odontologia e Clinicos Gerais

Categoria

Aperfeiçoamento

Data

Novembro de 2025

Local do Curso

Unisep
OBJETIVO GERAL

Preparar o aluno para o Diagnóstico, Planejamento e Atendimento Clinico a pacientes com aparelhos Ortodônticos Autoligável.

DIFERENCIAIS DO CURSO

O aluno terá todo o conhecimento voltado para o tratamento com aparelho Autoligável. Tipos de Braquetes SLP / SLI / SLH /SLBD (Passivos/Interativos/Hibridos e de duas dimensões); Fios ortodônticos de ultima geração (sequencia e tempo à ser utilizado); Local correto para a instalação de Stops (Wins); Mecânicas de Classe I, II e III, correções de apinhamento severos sem extrações ou desgastes.

CONTEÚDO DO CURSO
Análise FacialDiagnóstico das Más-oclusões
Planejamento OrtodônticoColagem de aparelhos
Elásticos ortodônticosContenções e Recidivas
Arcos de Nivelamento e de Finalização
  • CRO-PR 7.089
  • Mestre em Ortodontia
  • Especialista em Ortodontia e Ortopedia Facial
  • Coordenador do Curso de Especialização em Ortodontia